My 3 year old has 8 cavities. We have been visiting the dentist every 3 month to watch the cavity.
To prevent tooth decay.
3 year old cavity. My daughter is 3 years old. I was told she has 8 cavities. She needs to be put to sleep anesthesia because she cries too much and wont cooperate but Im soo scared she has her appointment this Tuesday June 11 and it says that it takes 4-6hours the whole procedure.
I dont know what to do. I dont want anything to happen to her. At 3 years of age odds are your child isnt going to lose that tooth any time soon.
A small cavity can turn into a large cavity and an ifection. Dont take the chance. Get the tooth filled.
My three year old needs fillings for her cavities. Shes so scared of getting her teeth cleaned her pediatric dentist recommended intravenous sedation. If your kids have undergone IV sedation or other type of conscious sedation–or if you opted not to use any sedation–for dental procedures I would love to hear about your experience.
Cavity started out small on the surface when he was 3. Kept trying to fill it without any sedation but he was pre-cooperative as the dentist put it. We went back every few months to put vitamins on the tooth in hopes that we could keep it from deepening before he was old enough to fix it.
Didnt really work and we were left with a deep cavity. Steven Freeman explains that baby teeth are actually more prone to develop cavities because of the way they are shaped and because the enamel on the outside of the tooth is thinner. How do you KNOW that a simple cavity cannot be fixed by a routine filling.
Even IF the tooth cannot be fixed and requires Root Canal treatmenta child-care Dentist called PEDODONTISTS ROTINELY handle situations such as yours as an everyday p. Brush the teeth tongue and gums twice a day with a fluoride toothpaste. Or watch as your child brushes his or her teeth.
For children younger than 3 years old use only a small amount of toothpaste about the size of a grain of rice. Starting at 3 years old your child can use a pea-sized amount of toothpaste. According to the Centers for Disease Control and Prevention cavities affect 11 percent of 2-year-olds 21 percent of 3-year-olds and 44 percent of 5-year- olds.
My 3 year old has 8 cavities. I feel like the worst Mom ever. Not to mention I feel heartbroken for my sweet boy.
Kyle adores the dentist and both he and his sister beg to go to the dentist as they think it is so fun and exciting. Nitrous is quite good but a 3 year old prob wont breathe it properly so might be waste of time. Sleepy juice midazolam is usually better but taste is hard to disguise - however this is my preference general practice at this age if possible.
If your child is young eg. 6 years old and they need a filling or extraction Id recommend the laughing gas for their first dental treatment experience. It will better allow them to have a positive first experience which can translate to a long-term healthy relationship with the dentist and the dental atmosphere in general.
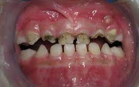
My sons teeth are awful he has cavities in all his front 4 teeth as far as I can see his bottom ones are fine but my view of the rest at the top is not good im devastated. I dont know what to do. Theyve been bad for a couple months and just getting worse and worse he is only 3 and all the research I can find say he is going to have to have them pulled how can a 3 year old go 5 years.
The following filling options are available for a 3-year-old tooth decay treatment. Fluoride treatment whereby the fluoride gel is used to cover the affected areas and reverse the effect of decay. Fillings In this procedure the rotten part is removed and filled with ceramic resin.
It is used in filling the cavities that have passed the first stage. How common are cavities among infants andor toddlers. By the age of 3 or 4 around 30-40 percent of children have dental disease.
Since most cavities in children and adolescents develop in the molars the back teeth its best to get these teeth sealed as soon as they come in. The first permanent molars called - 6 year molars - come in between the ages of 5 and 7. The second permanent molars - 12 year molars - come in when a child is between 11 and 14 years old.
Topical treatments prevent dental decay and are completed during a pediatric dental exam or teeth cleaning. Fluoride treatment is only recommended for young children between 3 and 16 years of age. This includes brushing with a fluoride toothpaste at home receiving professional fluoride treatment twice a year and drinking fluoridated tap water.
Hi My 3-year-old son recently went for his first dentist visit and I found out he had some small cavities too. I took him back for the fillings and he had them done with no medication at all and did not feel any pain. He sat very still in the chair.
He may be an unusual case the dentist and the assistant both commented on how good he was. I have an 8 year old. She has has a small cavity for almost a year in her first molar.
We have been visiting the dentist every 3 month to watch the cavity. He told us not to fill it. Preventing tooth decay in young children.
You can help prevent tooth decay in young children by introducing healthy eating and good cleaning habits early on. Good feeding habits help to prevent tooth decay. To prevent tooth decay.
When your baby has finished feeding remove them from the breast or bottle. Dont put baby to bed with a bottle. Oral health survey of 3-year-old children 2020.
A report on the prevalence and severity of dental decay 5 Introduction This report presents a summary of the results of the oral health survey of 3-year-old children during the 2019 to 2020 school year. This is only the second survey of this particular age group to have been performed in England.