You should improve your brushing techniques and use a good toothbrush to make sure that every corner of your mouth gets clean. Categories A Word from Dr Dentist Longmont CO on August 19 2020 at 724 am.
Food stuck in tooth crevice.
Food stuck in tooth crevice. Possible reasons food may be getting stuck are. Too much space between adjacent teeth this is referred to as an open contact and can be caused by the placement of filling or crown that lacks the proper shape. Cavities between and within teeth cavities can grab food particles and trap them making it difficult to completely remove.
If food keeps getting stuck in your teeth then we recommend you get it examined by a dentist. It may be a sign something is wrong. Here are some possible reasons why you keep getting food stuck between your teeth.
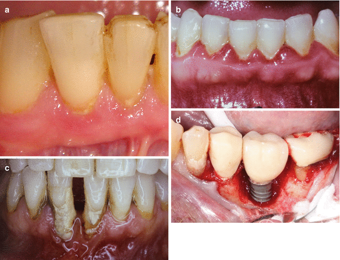
With periodontal disease your gums pull away from your teeth creating pockets for food and bacteria to get stuck. If left untreated gum disease can result in tooth. A food trap is a place is your mouth usually between two teeth or a tooth and gums where food gets stuck after a meal and cant be removed without flossing.
This trap can eventually lead to tooth decay or pain if left uncleaned or untreated by a dentist. The arrow in the picture points to where food gets trapped when there isnt adequate contact. To sum up your options and get the contact space tighter preventing food from getting stuck between your teeth you have to either move the teeth closer together or put something on the teeth.
To move the teeth closer this would be some form of braces. Is it bad to get food stuck in wisdom teeth holes. If food does get into extraction site flush gently with warm salt water the blood clot tends to feel like something is stuck so dont try clean it out.
If you have an increase in pain swelling or any concerns regarding the healing process contact the oral surgeon or dentist immediately. Is it bad to get food in wisdom teeth holes. If its Food Impaction Food Lodgement Consult a Dentist about proper brushing techniques Enameloplasty Smoothening out of Roughened enamel Cusps Scaling or Root Planing in case of Sub gingival Plaque Tartar buildup below the Gingival line.
In a way getting something stuck in your teeth could be a good thing because then you get to see how your date reacts. If they kindly point out a lodged piece of broccoli and offer a napkin or to. You should improve your brushing techniques and use a good toothbrush to make sure that every corner of your mouth gets clean.
Ask your dentist for a quick demonstration of the right brushing techniques. Flossing regularly is the best thing you can do to remove the food deposits stuck in-between your teeth. A water pick also known as an oral pulsating irrigator is a device that aims a stream of water at your teeth.
A water pick can help remove food particles from your teeth the way a toothpick would without causing harm to the gum. You can aim the stream of water into the area where the food is stuck to try to dislodge it without injuring yourself. Teeth alignment could be one of the simplest reasons why food is always trapped in between teeth.
Spacing in between the teeth which is known as open contact is when there is a gap or opening between two adjacent teeth. Spacing in between certain teeth could be from how the teeth naturally grew into place or from a chipped or missing filling. Similar to your natural teeth dental implants have the same nooks and crannies and small crevices where food can become lodged or stuck.
When food embeds itself in under or around these areas it isnt only unsightly and embarrassing it can cause inflammation irritation pain. Food stuck between teeth teeth and gums or in within teeth should not be a routine experience. If you find food gets stuck between your teeth there is likely something wrong with your dental health.
Is Food Stuck Between Teeth Painful. There is potential for bits of food between the teeth to prove painful. If you find that food between your pearly whites causes pain on a regular basis then it.
That stray popcorn kernel that slides between two teeth just as the movie begins the tough bit of meat that seems to have wedged itself between two back molars during a meal with friends or the sesame seed from the bagel that just jammed itself into an impossible crevice in a tooth these are common enough but there are some who deal with much worse. Food stuck in tooth crevice. Use a toothpick Most restaurants provide toothpicks to remove debris from your teeth after a meal.
And for those of you with dentures this can be an even bigger hassle as food can make its way under the false teeth where it sticks in the glue holding the device in place. Food stuck in tooth crevice. Just make sure you wash your hands before putting them in your mouth.
Dont rinse out or you will bleed. The flap can trap food and lead to a gum infection. The food stuck in teeth causes a lot of issues including dental cavity and tooth decay.
Food stuck in tooth crevice. You May Also Like What is 19 76 simplified. If food keeps getting stuck in your teeth then we recommend you get it examined by a dentist.
What can a dentist do to fix your food trap. The pain may feel like it covers the whole side. Food stuck in tooth crevice.
One must be careful and clean their teeth properly including the spaces between teeth. Categories A Word from Dr Dentist Longmont CO on August 19 2020 at 724 am. People often experience bad breath as a result of food particles being stuck between the teeth.