MRI Whole Abdomen Price in Delhi 4920. These rapid antigen tests are suitable for testing large communities in remote areas.
Handheld Volk In View Fundus Camera.
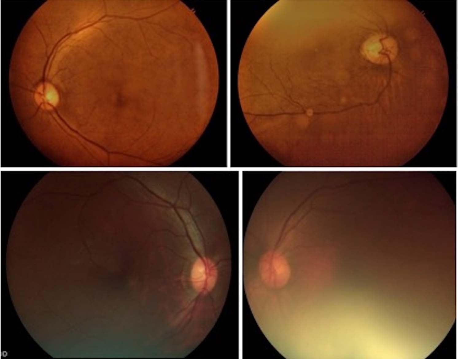
Fundus test cost in delhi. Ans- 8 Fundus examination Ophthalmoscopy. What is the expense. It is a part of routine eye examination so it is included in consultation charges but after examination if some eye exercizes are required they are chargeable and the cost may vary from one hospital to the other.
How much will it cost to get the RT-PCR test done at Delhi Airport. Cost for passengers who can exit the Airport after getting the molecular test on arrival is Rs500. A direct fundus examination was needed in 31 of patients that had an additional cost of 097 Euros per patient for the PHS plus 1497 Euros per patient because of travel cost and loss of income.
The second alternative direct fundus examination required 269 011 and 033 Euros per patient for personnel consumables and capital cost respectively. One key advantage of the quick antigen test Delhi is that it gives results quite rapidly. The rapid antigen test cost is also relatively cheaper especially if you get it done from CNC Pathlabs.
These rapid antigen tests are suitable for testing large communities in remote areas. Know Where To Go For Affordable rapid antigen test price. If you are in Delhi you will be glad to know that the cost of RT-PCR test in private labs has now been reduced to Rs 800.
The cost of home collection samples was further reduced to Rs 1200 from Rs 2400. The RT-PCR test cost in Haryana has also been reduced and you can yourself tested for Coronavirus infection within Rs 1200. Summary of HSG Test cost in Delhi.
For your HSG Test in Delhi more than 11 certified labs are available. You will get a discount of up to 46 over the market price on HSG Test price in Delhi when booking through us. The lab nearest to you for HSG Test in Delhi is just 204 kms away.
Click on the link of your city below to choose a lab and make an online booking for home collection at a suitable time. City for STD Test. STD Test Cost in Delhi.
STD Test Cost in Gurgaon. STD Test Cost in Bangalore. Please choose Location and other options on this page to view the Brain MRI cost or Brain MRI scan cost in Delhi NCR India.
MRI Brain With Contrast CE MRI Brain CT Scan Brain MRI Brain Pituitary Protocol MRI. 999 2999. Dental cone beam computed tomography CBCT is a special type of x-ray equipment used when regular dental or facial x-rays are not sufficient.
Your doctor may use this technology to produce three dimensional 3-D images of your teeth soft tissues nerve pathways and bone in a single scan. Echo test price in Delhi-NCR usually starts from Rs 2500-. However You can avail up to 50 discount through BookmeriLab echo test cost starts at Rs 1599- only.
Just fill the form below and our executive will contact you shortly. Generally the market price of an Echo Test Cost in Delhi is above 2500 but with us you can get it for 1530 only. Avail of this exclusive offer by calling us on 08061970525.
Horus Digital Fundus Camera with in-built screen complete with Rechargeable Handle. 350 Lakh Unit. Handheld Volk In View Fundus Camera.
85000 Piece. Original Volk i Phone Fundus Camera with Apple Adapter 66s Model. 79000 Piece.
That is why DNA Forensics Laboratory Pvt. Set-up the new DNA sample collection center in Delhi and started providing the best DNA Test Cost in New Delhi. The price of a specific DNA test depends on the test performed.
It also depends on the number of participants and the nature of the sample sent for testing including samples of hair or nail rather than bloodswab samples for DNA test old samples etc. Our DNA test starts from 5700 18 GST. We offer fastest test.
Covid test at home in Delhi is available. Covid test price in Delhi is Rs. Service is provided by Thyrocare.
Click here to Book Appointment COVID RT-PCR Rs. 700 in Delhi by Niramaya PathLabs Delhi Home Collection is available in Delhi NCR. On-Time Service and Quality Report is provided by Niramaya PathLabs.
Click here to Book Appointment. Average Price Starting Price Price Upto. The medical laboratories offer COVID-19 RT-PCR test Delhi which are the best way to get your tests done at cost-effective rates.
You can get your Reverse-Transcriptase test done at an affordable COVID-19 RT-PCR test price by CNC Pathlab that is widely known for its. MRI Scan Cost in Delhi. MRI Brain Price in Delhi 2115.
MRI Spine Price in Delhi 2460. MRI Knee Price in Delhi 2250. MRI Chest Price in Delhi 2460.
MRI Ankle Price in Delhi 2250. MRI Elbow Price in Delhi 2460. MRI Shoulder Price in Delhi 2070.
MRI Whole Abdomen Price in Delhi 4920. MRI Neck Price in Delhi 2460. MRI Brain Contrast Price in Delhi 3015.
Summary of Vitamin D Test cost in Delhi. For your Vitamin D Test in Delhi more than 11 certified labs are available. You will get a discount of up to 40 over the market price on Vitamin D Test price in Delhi when booking through us.
The lab nearest to you for Vitamin D Test in Delhi is just 232 kms away. IDP IELTS New Delhi is conveniently located in Nehru Place just 200m from the metro station making it easily accessible for all test takers. Since IELTS score is recognized globally by 10000 organisations as an acceptance of English language proficiency it is highly.
Delhi Chief Minister Arvind Kejriwal announced the news on Twitter Delhi govt drastically reduces corona test rates. This will help the common man As per the revised rates both the RT-PCR test and RAT will now cost Rs 300 in Delhi when samples are collected by teams sent by the government. How much is the cost.
According to the official website of Delhi airport the test will cost arriving passengers Rs3400. Departing passengers will need to spend Rs800 for the test. Payment options will be shown during registration.
How long until you get the result. The test takes 4. The cost of CT Scan starts from Rs1200 to Rs.
Extra cost of Rs. 2000 for contrast material if required. When you go at the Diagnostic centre for the CT Scan in delhi so usually it starts from 2500- but the CT scan exclusively available through us at just only 1399- Generally price of the CT scan in market starts from 2500.
Minister of State for Education Sanjay Dhotre Friday launched an affordable and accurate Rapid Antigen Test kit for Covid developed by The Indian Institute of Technology IIT Delhi. The kit costs just Rs 50 and is hundred per cent indigenously developed and manufactured. The Delhi government has made Covid-19 testing easier on the pockets.
On Wednesday it announced to revise the rates and put a cap the cost of RT-PCR test.